/
செய்திகள்
/
Kalvimalar
/
News
/
Five-minute brain scan could reveal risk of psychosis in patient, study suggests
/
Five-minute brain scan could reveal risk of psychosis in patient, study suggests
Five-minute brain scan could reveal risk of psychosis in patient, study suggests
Five-minute brain scan could reveal risk of psychosis in patient, study suggests
UPDATED : நவ 26, 2024 12:00 AM
ADDED : நவ 26, 2024 11:11 PM

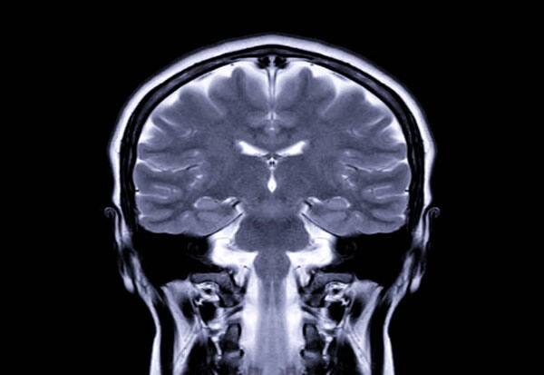
New Delhi: A "single five-minute" brain scan could help predict individuals at risk of experiencing psychosis, according to a study.
Brain scans of psychosis patients revealed that regions processing information from senses were weakly connected to each other and strongly connected to the thalamus -- which acts as a "relay station" for sensory and movement information to the brain.
"A single five-minute scan could potentially improve our ability to predict which at-risk individuals will transition to a psychotic disorder, which in turn could allow for more timely treatments or interventions," author Brian Keane, an assistant professor of neuroscience at the University of Rochester, said.
Researchers analysed MRI scans from 159 participants, including 105 who developed a psychotic disorder up to five years prior to testing.
A psychotic disorder -- schizophrenia, manic phase of bipolar disorder -- involves losing touch with reality and developing symptoms such as hallucinations.
The differences in the brains of psychotic and non-psychotic patients were confined to two networks -- the somatomotor network, responsible for preprocessing bodily movement and sensations, and the visual one, which creates representations of objects, faces, and complex features, the researchers found.
By combining the dysconnectivity -- or abnormal brain connectivity -- patterns across these two networks allowed the researchers to create a "somato-visual" biomarker. 'Somato-' is a prefix meaning 'body'.
Detecting the biomarker in brain scans could help diagnose the psychiatric condition before the first symptom emerged, they said. Currently, psychosis is diagnosed through an interview between a mental health professional and patient.
"What makes this biomarker unique is its large effect size, its robustness to over a dozen common confounds, and its high reliability across multiple scans," Keane, also the corresponding author of the study published in the journal Molecular Psychiatry, said.
"It also gives us a place to keep looking. An important next step will be to determine if the somato-visual biomarker emerges before or as psychosis begins," Keane said.