/
உள்ளூர் செய்திகள்
/
கோயம்புத்தூர்
/
காசநோய் தொற்றுக்கு உள்ளானோர்...புதிதாக 125 பேர்!:100 நாள் கண்காணிப்பு திட்டத்தில் பகீர்
/
காசநோய் தொற்றுக்கு உள்ளானோர்...புதிதாக 125 பேர்!:100 நாள் கண்காணிப்பு திட்டத்தில் பகீர்
காசநோய் தொற்றுக்கு உள்ளானோர்...புதிதாக 125 பேர்!:100 நாள் கண்காணிப்பு திட்டத்தில் பகீர்
காசநோய் தொற்றுக்கு உள்ளானோர்...புதிதாக 125 பேர்!:100 நாள் கண்காணிப்பு திட்டத்தில் பகீர்
ADDED : மார் 05, 2025 03:23 AM

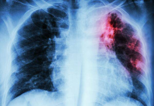
கோவை:கோவையில், 70 குழந்தைகள் உட்பட, 2,365 பேர் காசநோய் சிகிச்சை பெற்று வருகின்றனர். புதிதாக 125 பேர் இந்நோயால் பாதிக்கப்பட்டு இருப்பது, 100 நாள் சிறப்பு கண்காணிப்பு வாயிலாக கண்டுபிடிக்கப்பட்டுள்ளது.2030ல் காசநோயற்ற நாடாக அறிவிக்க திட்டமிட்டிருந்த நிலையில், புதிதாக அதிகரித்து வரும் தொற்று, சுகாதார பணியாளர்களுக்கு சவாலாக உருவெடுத்துள்ளது.
காசநோய் ஒழிப்பு நடவடிக்கையில், மத்திய, மாநில அரசுகள் தீவிரமாக ஈடுபட்டுள்ளன. தனியார் மருத்துவமனைகளில் இந்நோய்க்கு சிகிச்சை எடுப்பவர்களின் விபரங்களும், காசநோய் கட்டுப்பாட்டு மைய அலுவலர்களுக்கு, அளிக்க வேண்டியது கட்டாயம்.
கண்காணிப்பு முகாம்
கோவையில், காசநோய் கண்காணிப்பு முகாம் தொடர்ந்து நடைபெற்று வருகிறது. கடந்த ஐந்து ஆண்டுகளில் நோய் பாதிக்கப்பட்டு குணமாகி சென்றவர்கள், அவர்களுடைய உறவினர்கள், அரசு மருத்துவமனை மற்றும் ஆரம்ப சுகாதார நிலையங்களில் சர்க்கரை நோய் சிகிச்சை பெற்றவர்கள், புகை, மது பழக்கம் கொண்டவர்கள் என, பட்டியல் தயார் செய்து கண்காணிப்பு பணிகள் நடந்து வருகின்றன.
இந்த, 100 நாள் சிறப்பு கண்காணிப்பு பணி வரும், 17ம் தேதி வரை நடைபெறும். நேற்று மாலை வரை, கோவையின் பல்வேறு இடங்களில், 3.50 லட்சம் பேரை பரிசோதித்து, அறிகுறிகள் உள்ளதா என ஆய்வு செய்யப்பட்டுள்ளதாக, அதிகாரிகள் தெரிவித்தனர்.
'பாதியில் நிறுத்தாதீர்'
மாவட்ட மருத்துவப்பணிகள் துணை இயக்குனர்(காசநோய்) டாக்டர் சக்திவேல் கூறியதாவது:
காசநோய் யாரை வேண்டுமானாலும் தொற்றலாம். காற்றில் பரவும் இந்த தொற்றுநோய், நோய் எதிர்ப்பு சக்தி குறைந்தவர்களை எளிதில் தாக்குகிறது. ஆரம்பத்தில் கண்டறிந்து, டாக்டர்கள் பரிந்துரைக்கும் சிகிச்சையை, முழுமையாக குணமாகும் வரை பெற வேண்டும். பலர் அறிகுறிகளின் தன்மை குறைந்ததும் நிறுத்தி விடுகின்றனர்.
காசநோய் என்பது தலைமுடி, நகம் தவிர எந்த இடத்தில் வேண்டுமானாலும் வரலாம். நுரையீரலில் வரும் காசநோய், பரவும் தன்மை கொண்டது. தயக்கமின்றி சிகிச்சை எடுத்துக்கொள்ள வேண்டும்.
கோவையில், தனியார், அரசு மருத்துவமனைகளில் காசநோய் பாதிப்புக்காக சிகிச்சை எடுப்பவர்கள் எண்ணிக்கை, 2,365. இதில், 70 பேர் 15 வயதுக்கு உட்பட்ட குழந்தைகள்.
125 பேருக்கு பாதிப்பு
தற்போது நடந்துவரும், 100 நாள் முகாமில், புதிதாக 125 பேருக்கு பாதிப்பு இருப்பதை உறுதி செய்து சிகிச்சையை துவக்கியுள்ளோம். இப்பாதிப்பு உள்ளவர்கள், கட்டாயம் ஊட்டச்சத்து உணவு எடுத்துக்கொள்ள வேண்டும். கடந்த, 5 ஆண்டுகளில் கோவையில் 13,000 பேர் சிகிச்சை பெற்று, குணமடைந்து சென்றுள்ளனர்.
இவ்வாறு, அவர் தெரிவித்தார்.

